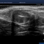
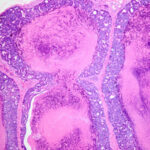
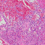
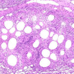
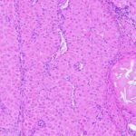
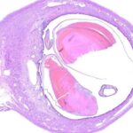
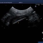
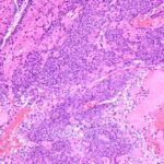
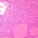
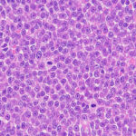
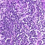
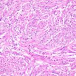
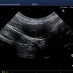
頻繁に嘔吐・下痢をするワンちゃんの精密検査依頼で内視鏡検査のご紹介がありました。内視鏡検査で上部・下部消化管を検査し、粘膜を採取し病理組織検査に出しました。結果は「胃:らせん菌感染を伴う慢性胃炎(中程度)/結腸:慢性腸炎(軽度)」とのことでした。その後かかりつけの先生のところ […]

| 受付時間 | 月 | 火 | 水 | 木 | 金 | 土 | 日 |
|---|---|---|---|---|---|---|---|
| 9:00 ~ 11:30 | 休診 | 休診 | |||||
| 15:00 ~ 17:30 | - | ||||||
| 14:00 ~ 16:30 | - | - | - | - | - |
| 受付時間 | 月 | 火 | 水 | 木 | 金 | 土 | 日 |
|---|---|---|---|---|---|---|---|
| 9:00 ~ 11:30 | 休診 | ||||||
| 15:00 ~ 17:30 | 休診 | - | - | ||||
| 14:00 ~ 16:30 | - | - | - |
駒越病院は予約診療になりますので、駒越病院もしくは静岡南病院のほうへお電話にてご予約ください。
| 受付時間 | 月 | 火 | 水 | 木 | 金 | 土 | 日 |
|---|---|---|---|---|---|---|---|
| 9:00 ~ 11:30 | 休診 | ||||||
| 15:00 ~ 17:30 | 休診 | - | - | ||||
| 14:00 ~ 16:30 | - | - | - |
※夜間・時間外など、急患の際は電話でお問い合わせ下さい。
※
が受付時間になります。
※曜日により時間が異なりますのでご注意ください。

ご不明な点がございましたら診察時間内にお電話にてご相談ください。