やまと動物病院 > お知らせ > お知らせ一覧 > 犬の黒色細胞腫の切除手術(腫瘍外科)

犬の黒色細胞腫の切除手術(腫瘍外科)

2025/9/19(金)

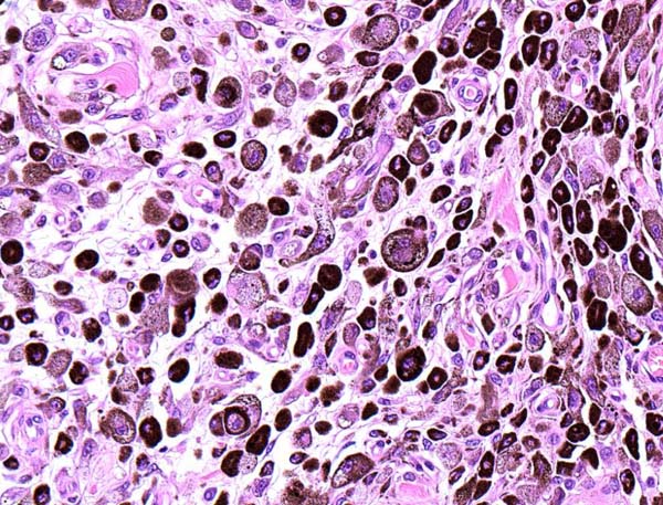
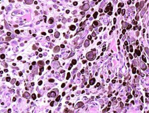
右目の瞼にできたデキモノを気にされて来院されました。切除手術を行い元気に退院しました。病理組織検査の結果は良性の「黒色細胞腫」でした。病理コメント:メラニン産生細胞に由来する腫瘍です。腫瘍細胞はやや高い細胞異型性を示しますが、高倍率10視野における核分裂数が3個を越えていないため良性と判断しました。切除マージンは確保されていますが、念のため今後の経過にはご注意ください。

診療案内

ご不明な点がございましたら診察時間内にお電話にてご相談ください。

  • 安東本院 TEL 054-246-7111 詳しくはこちら
  • 瀬名病院 TEL 054-265-6200 詳しくはこちら
  • 駒越病院 TEL 054-337-3210 詳しくはこちら
  • 静岡南 TEL 054-269-5555 詳しくはこちら
スタッフ募集

JARMeC 日本動物高度医療センター

日本動物高度医療センター
との連携について

当院は日本動物高度医療センターと連携をとっており 放射線治療など、より高度な治療を必要とする場合 連携して治療が受けられるようになっています。