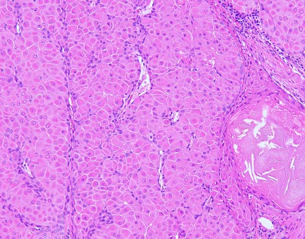
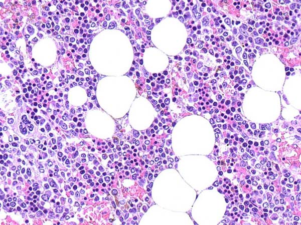
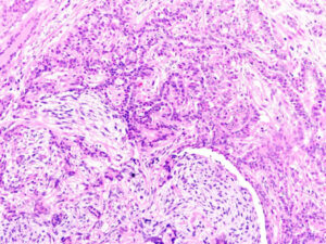
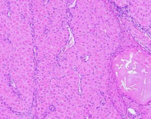
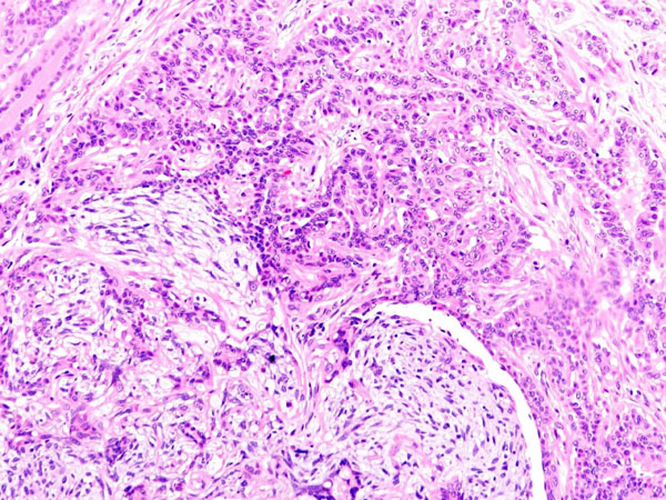
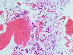
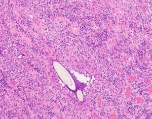
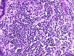
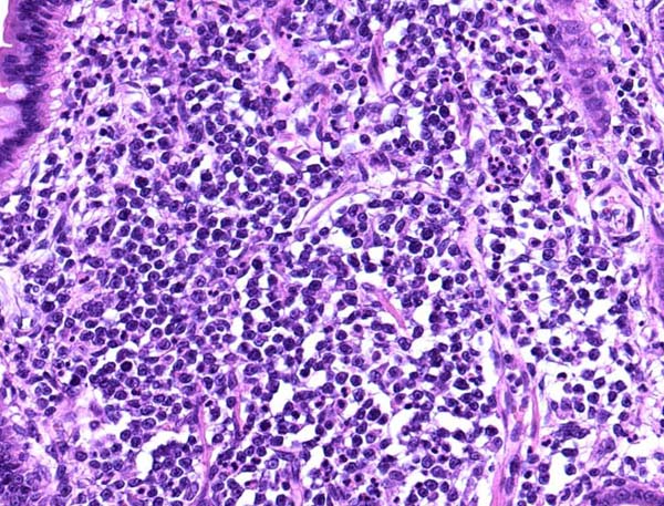
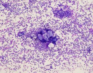
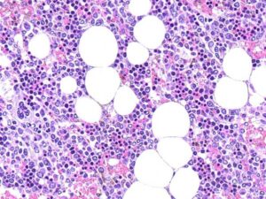
ワンちゃんが乳腺にできた複数のシコリを気にされて来院されました。bilateral mastectomyで対応しました。摘出後の病理組織検査の結果は、「R3-4間腫瘤:乳腺癌(複合型)」でそれ以外は「良性乳腺混合腫瘍」でした。無事元気に退院し、その後再発もなく経過は良好です。よかったね。

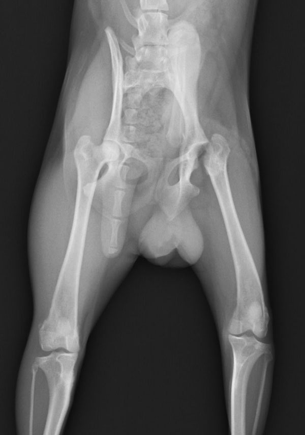
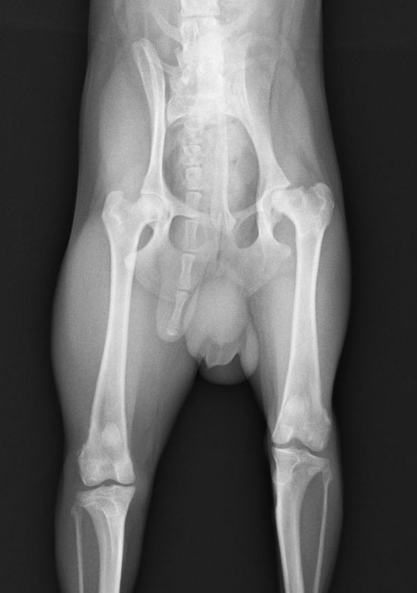
5~6歳以上の去勢手術をしていないオス犬に多い病気ですが、メス犬や去勢した犬に起こることもあります。お尻の筋肉が萎縮した結果、筋肉の隙間から直腸や膀胱が皮膚の下にとびでてしまいます。これにより便が出にくくなったり膀胱炎になったりします。手術をすることで機能回復および今後の致死的な状況を回避することができます。当院では去勢手術→結腸固定→前立腺固定→骨盤隔膜構成筋の縫縮→内閉鎖筋フラップ→浅臀筋フラップの順で通常腹側・臀部左右両側同時に行います。また老化以外に、筋肉が萎縮する原因があったり、腹圧がかかる原因があったりする場合も多いので、再発防止のためそれらの診断・治療も重要です。今回のワンちゃんも無事手術も終わり元気に退院しました。よかったね。
