やまと動物病院 > お知らせ > お知らせ一覧 > 犬の皮下停留精巣の手術(外科)

犬の皮下停留精巣の手術(外科)

2026/2/23(月)

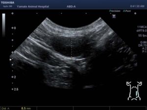
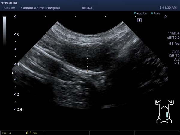
精巣が陰嚢に到達せず、お腹の中や内股の皮膚の下に停留してしまった状態をこう呼びます。犬で多く認められる疾患ですが、過去にもアップしてありますが、ネコでも年間数件手術します。潜在精巣では腫瘍の発生率が高いことから早期の去勢手術が推奨されます。今回の子は鼡径部皮下にエコーで確認でき、手術翌日無事退院していきました。よかったね。

診療案内

ご不明な点がございましたら診察時間内にお電話にてご相談ください。

  • 安東本院 TEL 054-246-7111 詳しくはこちら
  • 瀬名病院 TEL 054-265-6200 詳しくはこちら
  • 駒越病院 TEL 054-337-3210 詳しくはこちら
  • 静岡南 TEL 054-269-5555 詳しくはこちら
スタッフ募集

JARMeC 日本動物高度医療センター

日本動物高度医療センター
との連携について

当院は日本動物高度医療センターと連携をとっており 放射線治療など、より高度な治療を必要とする場合 連携して治療が受けられるようになっています。