ウサギの子宮内膜過形成の手術(エキゾチック)
2026/2/19(木)
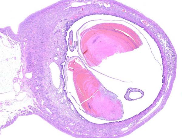
陰部からの出血を繰り返し、元気食欲がないとのことで来院されました。エコー検査にて子宮に腫瘤を認め、手術にて摘出しました。病理組織検査の結果は「顕著な血管拡張および血栓形成を伴う子宮内膜過形成」でした。「子宮においては血栓形成を伴った過形成性の病変が認められました。過形成による血流阻害が一因として考えられます。卵巣においては腫瘍性の変化は認めませんでした。」とのコメントでした。翌日元気に退院されました。「ウサギさんが10歳まで長生きしたらほぼ100%近く子宮の病気になる」という説があります。飼育下のウサギさんが長生きするためには早期の避妊手術が必要であると考えられます。
