やまと動物病院 > お知らせ > お知らせ一覧 > 犬の脾臓腫瘍摘出手術(腫瘍外科)

犬の脾臓腫瘍摘出手術(腫瘍外科)

2026/2/3(火)

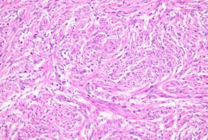
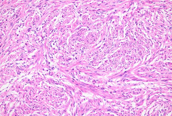
大型犬の子がお腹の腫れで来院されました。超音波検査で脾臓に腫瘤を認め、相談の結果脾臓の摘出をご希望されました。手術も無事終了し元気に退院しました。病理組織検査の結果は「肉腫NOS:由来不明肉腫(Sarcoma, not otherwise specified)」でした。今後肝臓など他臓器への浸潤等に注意が必要です。

診療案内

ご不明な点がございましたら診察時間内にお電話にてご相談ください。

  • 安東本院 TEL 054-246-7111 詳しくはこちら
  • 瀬名病院 TEL 054-265-6200 詳しくはこちら
  • 駒越病院 TEL 054-337-3210 詳しくはこちら
  • 静岡南 TEL 054-269-5555 詳しくはこちら
スタッフ募集

JARMeC 日本動物高度医療センター

日本動物高度医療センター
との連携について

当院は日本動物高度医療センターと連携をとっており 放射線治療など、より高度な治療を必要とする場合 連携して治療が受けられるようになっています。