やまと動物病院 > お知らせ > お知らせ一覧 > 犬の脾臓摘出手術(腫瘍外科)

犬の脾臓摘出手術(腫瘍外科)

2026/1/30(金)

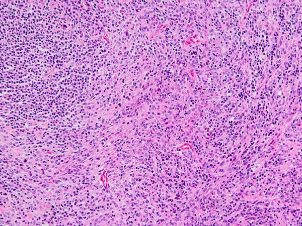
ワンちゃんが体調不良で来院されました。エコー検査で脾臓に大きな腫瘤が見つかったため飼い主様とご相談ののち摘出手術となりました。脾臓の病理組織検査の結果は「線維組織球性結節(グレード2)」でした。本疾患はリンパ球や組織球、線維芽細胞などの増殖を特徴とする病態で、肝臓へ転移する場合がありますので、定期的な経過観察が必要です。

診療案内

ご不明な点がございましたら診察時間内にお電話にてご相談ください。

  • 安東本院 TEL 054-246-7111 詳しくはこちら
  • 瀬名病院 TEL 054-265-6200 詳しくはこちら
  • 駒越病院 TEL 054-337-3210 詳しくはこちら
  • 静岡南 TEL 054-269-5555 詳しくはこちら
スタッフ募集

JARMeC 日本動物高度医療センター

日本動物高度医療センター
との連携について

当院は日本動物高度医療センターと連携をとっており 放射線治療など、より高度な治療を必要とする場合 連携して治療が受けられるようになっています。