やまと動物病院 > お知らせ > お知らせ一覧 > 大腿骨頭の無菌性壊死(レッグ・カルベ・ペルテス病)の手術(整形外科)

大腿骨頭の無菌性壊死(レッグ・カルベ・ペルテス病)の手術(整形外科)

2025/11/28(金)

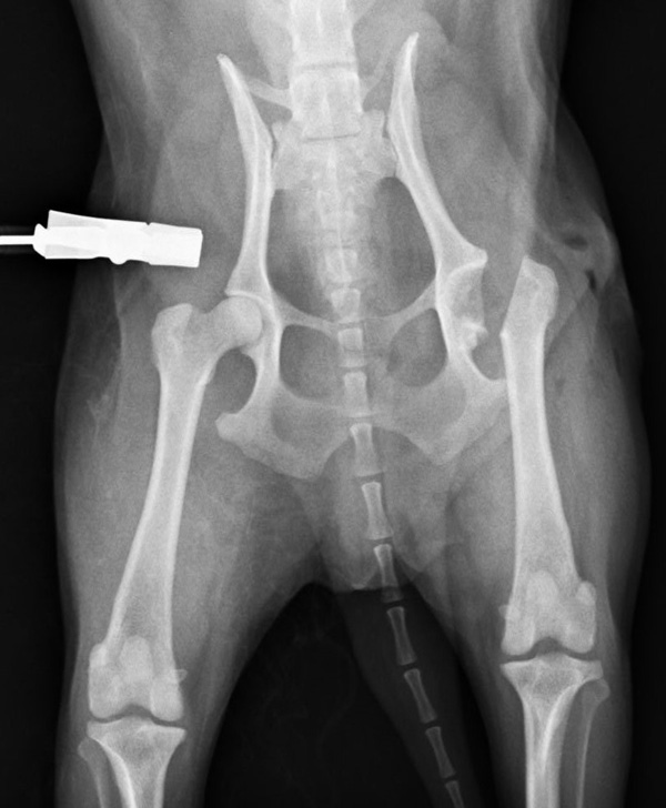
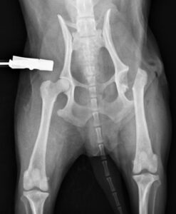
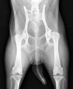
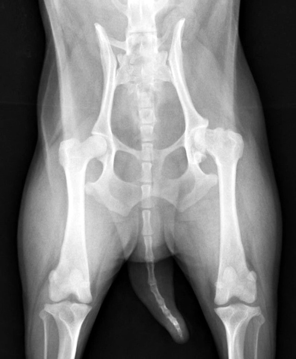
1歳未満の小型犬に多い病気です。成長期に大腿骨頭の血流が悪くなり壊死してしまう病気で、骨が変形して関節炎を起こします。これによって痛みが生じ、悪い方の後肢を上げがちになり、症状が進むと腿の筋肉が萎縮して3本足で歩行するようになります。痛みや跛行のあるものでは手術による早期治療が回復を早めるために重要です。当院では他院からのご紹介などもあり、この手術はとても多く、特にトイプードルが多いです。今回の子も無事元気に走れるようになりました。良かったね。

診療案内

ご不明な点がございましたら診察時間内にお電話にてご相談ください。

  • 安東本院 TEL 054-246-7111 詳しくはこちら
  • 瀬名病院 TEL 054-265-6200 詳しくはこちら
  • 駒越病院 TEL 054-337-3210 詳しくはこちら
  • 静岡南 TEL 054-269-5555 詳しくはこちら
スタッフ募集

JARMeC 日本動物高度医療センター

日本動物高度医療センター
との連携について

当院は日本動物高度医療センターと連携をとっており 放射線治療など、より高度な治療を必要とする場合 連携して治療が受けられるようになっています。