やまと動物病院 > お知らせ > お知らせ一覧 > 犬の乳腺癌の摘出手術(腫瘍外科)

犬の乳腺癌の摘出手術(腫瘍外科)

2026/3/28(土)

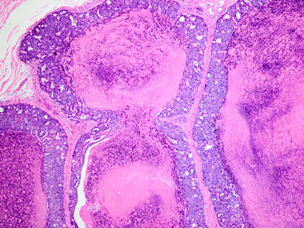
ワンちゃんが乳腺にできたシコリを気にされて来院されました。single mastectomyで対応しました。摘出後の病理組織検査の結果は、「右第1-2乳腺間腫瘤:乳腺癌」でした。無事元気に退院し、その後再発もなく経過は良好です。よかったね。

診療案内

ご不明な点がございましたら診察時間内にお電話にてご相談ください。

  • 安東本院 TEL 054-246-7111 詳しくはこちら
  • 瀬名病院 TEL 054-265-6200 詳しくはこちら
  • 駒越病院 TEL 054-337-3210 詳しくはこちら
  • 静岡南 TEL 054-269-5555 詳しくはこちら
スタッフ募集

JARMeC 日本動物高度医療センター

日本動物高度医療センター
との連携について

当院は日本動物高度医療センターと連携をとっており 放射線治療など、より高度な治療を必要とする場合 連携して治療が受けられるようになっています。