やまと動物病院 > お知らせ > お知らせ一覧 > 猫の内視鏡による胃内検査

猫の内視鏡による胃内検査

2026/3/1(日)

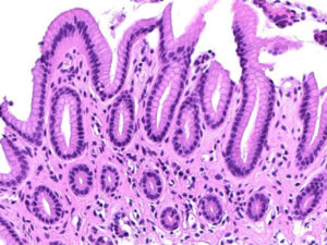
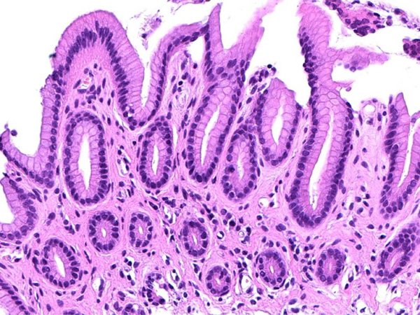
頻繁に嘔吐する猫ちゃんの精密検査依頼で内視鏡検査のご紹介がありました。内視鏡検査で胃内を検査し、数ヶ所胃粘膜を採取し病理組織検査に出しました。結果は「慢性胃炎(軽度)」とのことでした。採取粘膜ではラセン菌は認めず、リンパ球や単核細胞の浸潤を認め、検索範囲に腫瘍病変は認められませんでした。

診療案内

ご不明な点がございましたら診察時間内にお電話にてご相談ください。

  • 安東本院 TEL 054-246-7111 詳しくはこちら
  • 瀬名病院 TEL 054-265-6200 詳しくはこちら
  • 駒越病院 TEL 054-337-3210 詳しくはこちら
  • 静岡南 TEL 054-269-5555 詳しくはこちら
スタッフ募集

JARMeC 日本動物高度医療センター

日本動物高度医療センター
との連携について

当院は日本動物高度医療センターと連携をとっており 放射線治療など、より高度な治療を必要とする場合 連携して治療が受けられるようになっています。