やまと動物病院 > お知らせ > お知らせ一覧 > 犬の脾臓摘出手術(腫瘍外科)

犬の脾臓摘出手術(腫瘍外科)

2026/3/20(金)

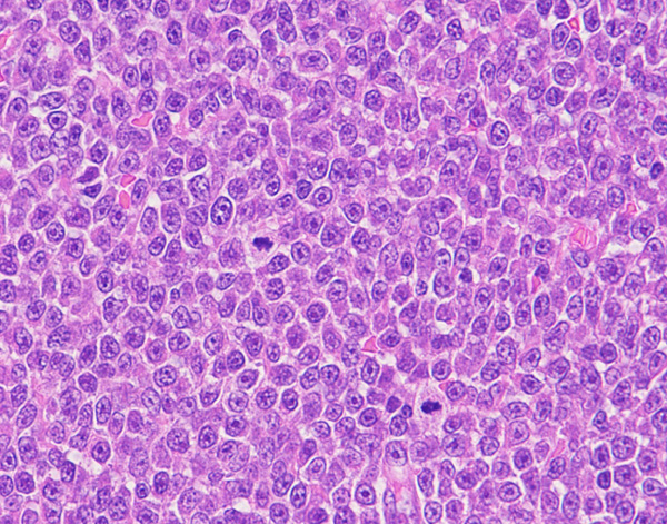
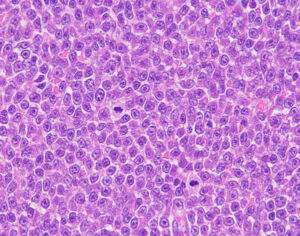
ワンちゃんが体調不良で来院されました。エコー検査で脾臓に大きな腫瘤が見つかったため飼い主様とご相談ののち摘出手術となりました。脾臓の病理組織検査の結果は「リンパ腫」でした。中型の腫瘍性リンパ球が多く、細胞形態も考慮すると緩徐進行性リンパ腫である濾胞辺縁帯リンパ腫から病態が進行した病変と推測されました。肝臓など他臓器への浸潤が起こらないか、定期的な経過観察が必要です。

診療案内

ご不明な点がございましたら診察時間内にお電話にてご相談ください。

  • 安東本院 TEL 054-246-7111 詳しくはこちら
  • 瀬名病院 TEL 054-265-6200 詳しくはこちら
  • 駒越病院 TEL 054-337-3210 詳しくはこちら
  • 静岡南 TEL 054-269-5555 詳しくはこちら
スタッフ募集

JARMeC 日本動物高度医療センター

日本動物高度医療センター
との連携について

当院は日本動物高度医療センターと連携をとっており 放射線治療など、より高度な治療を必要とする場合 連携して治療が受けられるようになっています。