やまと動物病院 > お知らせ > お知らせ一覧 > 犬の眼瞼腫瘤(マイボーム腺腫)の切除手術(眼科外科)

犬の眼瞼腫瘤(マイボーム腺腫)の切除手術(眼科外科)

2026/3/22(日)

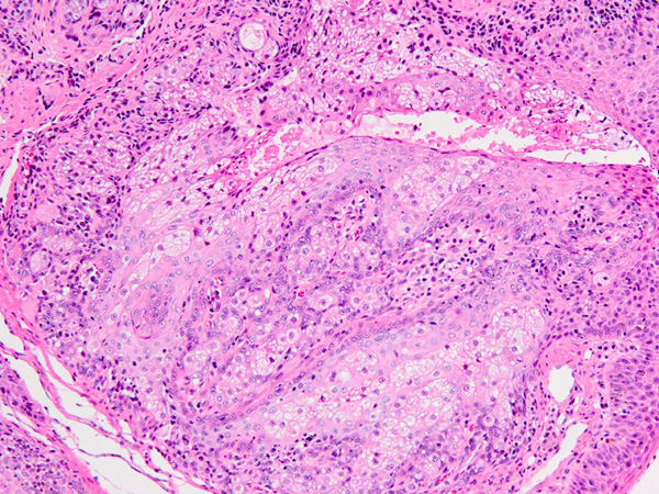
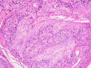
加齢に伴って、まぶたにシコリができることがあります。眼球に対して刺激になって結膜炎や痛みの症状が出る、視覚の妨げになるなどの場合には手術をおすすめします。再発のないようにイボを根っこから、ノッチができないよう「楔形」や「四辺」をイメージに切り取って縫い合わせます。アイラインが確実にピッタリ合うように丁寧に縫うことが仕上がりの良し悪しを決めます。今回の子は病理組織検査の結果「マイボーム腺腫」でした。

診療案内

ご不明な点がございましたら診察時間内にお電話にてご相談ください。

  • 安東本院 TEL 054-246-7111 詳しくはこちら
  • 瀬名病院 TEL 054-265-6200 詳しくはこちら
  • 駒越病院 TEL 054-337-3210 詳しくはこちら
  • 静岡南 TEL 054-269-5555 詳しくはこちら
スタッフ募集

JARMeC 日本動物高度医療センター

日本動物高度医療センター
との連携について

当院は日本動物高度医療センターと連携をとっており 放射線治療など、より高度な治療を必要とする場合 連携して治療が受けられるようになっています。