やまと動物病院 > お知らせ > お知らせ一覧 > 犬の胸部椎間板ヘルニア  MRI検査からの手術

犬の胸部椎間板ヘルニア  MRI検査からの手術<その1>

2026/3/14(土)

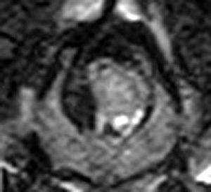
市外の先生からフレブルちゃん両後肢麻痺グレード3でMRI検査及び手術依頼でご紹介がありました。MRI検査で第12‐13胸椎間椎間椎間板ヘルニア、右側優位な圧迫と診断し手術となりました。   

診療案内

ご不明な点がございましたら診察時間内にお電話にてご相談ください。

  • 安東本院 TEL 054-246-7111 詳しくはこちら
  • 瀬名病院 TEL 054-265-6200 詳しくはこちら
  • 駒越病院 TEL 054-337-3210 詳しくはこちら
  • 静岡南 TEL 054-269-5555 詳しくはこちら
スタッフ募集

JARMeC 日本動物高度医療センター

日本動物高度医療センター
との連携について

当院は日本動物高度医療センターと連携をとっており 放射線治療など、より高度な治療を必要とする場合 連携して治療が受けられるようになっています。