やまと動物病院 > お知らせ > お知らせ一覧 > 犬の膀胱結石の手術(泌尿器外科)

犬の膀胱結石の手術(泌尿器外科)

2026/3/12(木)

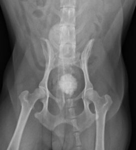
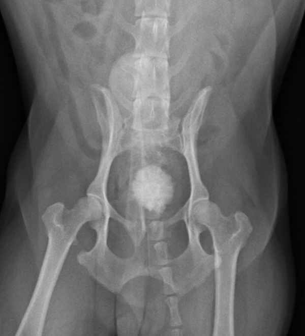
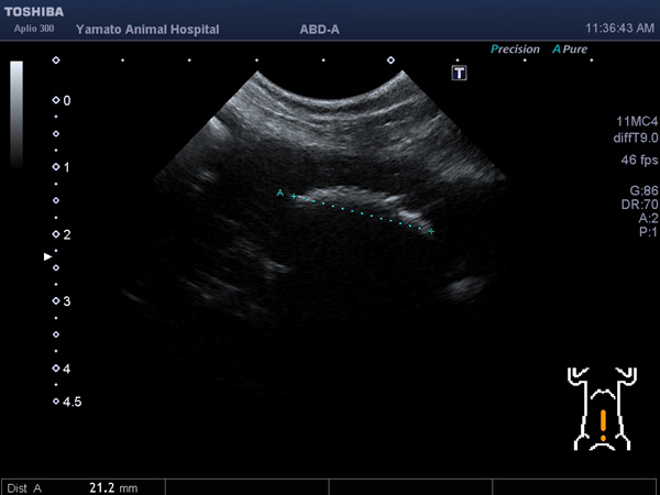
血尿、頻尿の症状で来院されました。レントゲン・超音波検査にて、膀胱内に結石を認め、手術による摘出となりました。無事手術も終わり元気に退院しました。よかったね。

診療案内

ご不明な点がございましたら診察時間内にお電話にてご相談ください。

  • 安東本院 TEL 054-246-7111 詳しくはこちら
  • 瀬名病院 TEL 054-265-6200 詳しくはこちら
  • 駒越病院 TEL 054-337-3210 詳しくはこちら
  • 静岡南 TEL 054-269-5555 詳しくはこちら
スタッフ募集

JARMeC 日本動物高度医療センター

日本動物高度医療センター
との連携について

当院は日本動物高度医療センターと連携をとっており 放射線治療など、より高度な治療を必要とする場合 連携して治療が受けられるようになっています。