やまと動物病院 > お知らせ > お知らせ一覧 > 犬の特発性癲癇(てんかん)発作のMRI検査

犬の特発性癲癇(てんかん)発作のMRI検査

2026/3/11(水)

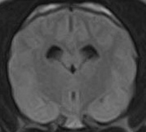
市内の先生からけいれん発作が出るとのことでMRI検査の依頼がありました。検査では脳に構造上の異常を認めず、脳脊髄液検査も問題なく、特発性てんかんとの診断でご紹介もとの病院様での治療となりました。

診療案内

ご不明な点がございましたら診察時間内にお電話にてご相談ください。

  • 安東本院 TEL 054-246-7111 詳しくはこちら
  • 瀬名病院 TEL 054-265-6200 詳しくはこちら
  • 駒越病院 TEL 054-337-3210 詳しくはこちら
  • 静岡南 TEL 054-269-5555 詳しくはこちら
スタッフ募集

JARMeC 日本動物高度医療センター

日本動物高度医療センター
との連携について

当院は日本動物高度医療センターと連携をとっており 放射線治療など、より高度な治療を必要とする場合 連携して治療が受けられるようになっています。