やまと動物病院 > お知らせ > お知らせ一覧 > 猫の消化器型リンパ腫の手術(腫瘍外科)

猫の消化器型リンパ腫の手術(腫瘍外科)

2026/4/7(火)

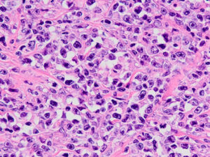
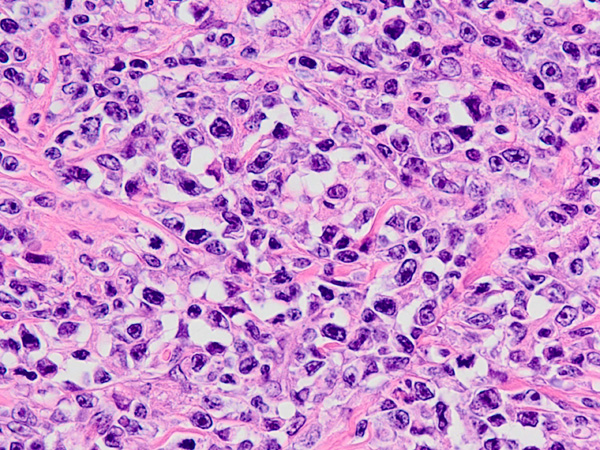
猫ちゃんが嘔吐と食欲不振の症状で来院されました。超音波画像から腫瘍による腸閉塞が疑われたため、開腹手術を行いました。病理組織検査の結果は「リンパ腫(高グレード、貫壁性)」でした。その後、抗がん剤による治療となりました。

診療案内

ご不明な点がございましたら診察時間内にお電話にてご相談ください。

  • 安東本院 TEL 054-246-7111 詳しくはこちら
  • 瀬名病院 TEL 054-265-6200 詳しくはこちら
  • 駒越病院 TEL 054-337-3210 詳しくはこちら
  • 静岡南 TEL 054-269-5555 詳しくはこちら
スタッフ募集

JARMeC 日本動物高度医療センター

日本動物高度医療センター
との連携について

当院は日本動物高度医療センターと連携をとっており 放射線治療など、より高度な治療を必要とする場合 連携して治療が受けられるようになっています。