やまと動物病院 > お知らせ > お知らせ一覧 > イヌの歯周病からの下顎骨折の手術(歯科)

イヌの歯周病からの下顎骨折の手術(歯科)

2026/4/5(日)

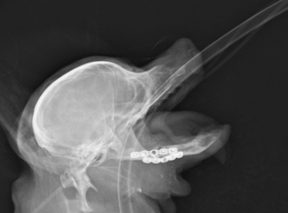
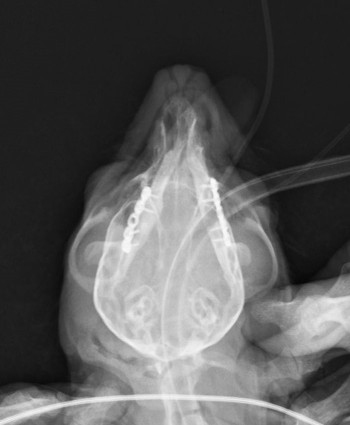
重度の歯周病で両側の下顎の病的骨折をしているワンちゃんが来院されました。悪い歯の抜歯と下顎のプレート固定(TITAN LOCK1.2mm使用)で対応しました。退院後しっかりご飯が食べられるようになりました。よかったね。

診療案内

ご不明な点がございましたら診察時間内にお電話にてご相談ください。

  • 安東本院 TEL 054-246-7111 詳しくはこちら
  • 瀬名病院 TEL 054-265-6200 詳しくはこちら
  • 駒越病院 TEL 054-337-3210 詳しくはこちら
  • 静岡南 TEL 054-269-5555 詳しくはこちら
スタッフ募集

JARMeC 日本動物高度医療センター

日本動物高度医療センター
との連携について

当院は日本動物高度医療センターと連携をとっており 放射線治療など、より高度な治療を必要とする場合 連携して治療が受けられるようになっています。