やまと動物病院 > お知らせ > お知らせ一覧 > フェレットの大腿骨骨折の手術(整形外科)(エキゾチック科)

フェレットの大腿骨骨折の手術(整形外科)(エキゾチック科)

2026/4/11(土)

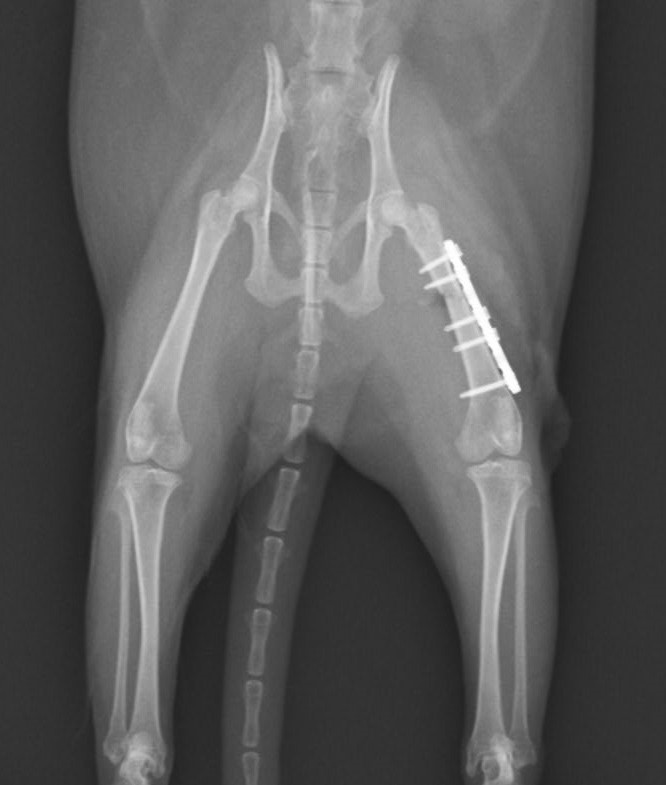
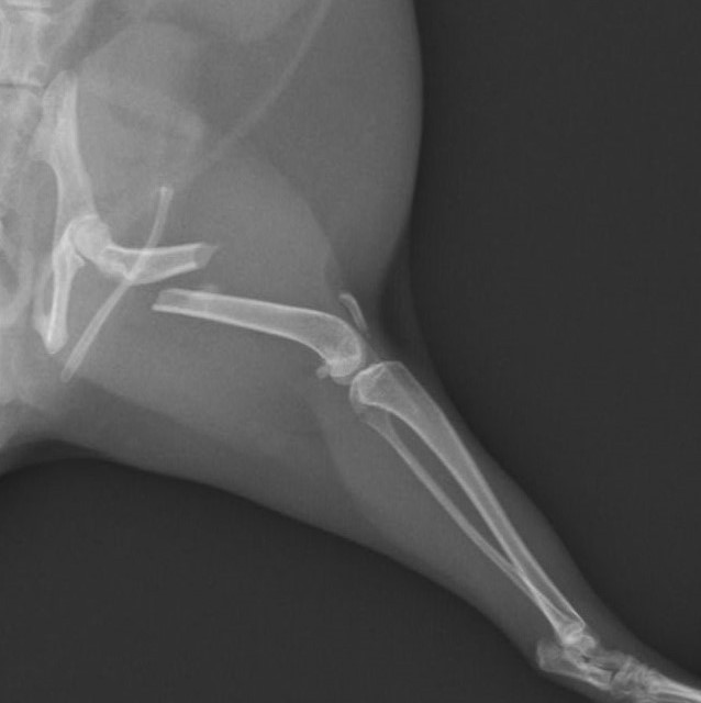
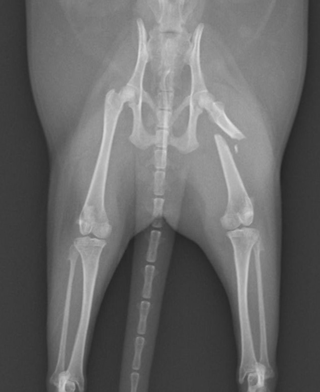
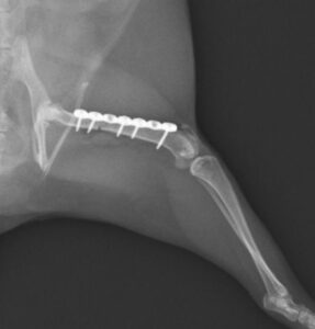
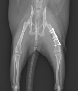
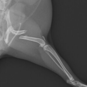
大腿骨骨折のフェレットちゃんの手術依頼でご紹介がありました。TAITAN1.2プレートを使用し無事歩けるようになりました。よかったね。

診療案内

ご不明な点がございましたら診察時間内にお電話にてご相談ください。

  • 安東本院 TEL 054-246-7111 詳しくはこちら
  • 瀬名病院 TEL 054-265-6200 詳しくはこちら
  • 駒越病院 TEL 054-337-3210 詳しくはこちら
  • 静岡南 TEL 054-269-5555 詳しくはこちら
スタッフ募集

JARMeC 日本動物高度医療センター

日本動物高度医療センター
との連携について

当院は日本動物高度医療センターと連携をとっており 放射線治療など、より高度な治療を必要とする場合 連携して治療が受けられるようになっています。