やまと動物病院 > お知らせ > お知らせ一覧 > イヌの骨肉腫の断脚手術(腫瘍外科)

イヌの骨肉腫の断脚手術(腫瘍外科)

2026/4/13(月)

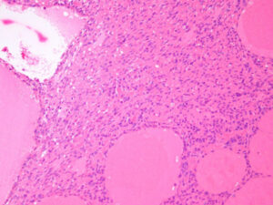
大型犬の子が上腕骨の悪性腫瘍の断脚手術希望でご紹介がありました。切除後の病理組織検査の結果は悪性の「骨肉腫」でした。付属のリンパ節に上記腫瘍の転移は認められませんでした。観察範囲において腫瘍は切除されていますが、今後も再発に注意が必要です。その後、ご紹介元の先生の所での治療となりました。

診療案内

ご不明な点がございましたら診察時間内にお電話にてご相談ください。

  • 安東本院 TEL 054-246-7111 詳しくはこちら
  • 瀬名病院 TEL 054-265-6200 詳しくはこちら
  • 駒越病院 TEL 054-337-3210 詳しくはこちら
  • 静岡南 TEL 054-269-5555 詳しくはこちら
スタッフ募集

JARMeC 日本動物高度医療センター

日本動物高度医療センター
との連携について

当院は日本動物高度医療センターと連携をとっており 放射線治療など、より高度な治療を必要とする場合 連携して治療が受けられるようになっています。